20 ANOS DE EXPERIENCIA
Tratamiento
Soy la Dra. Arelly Castillo, Especialista en Periodoncia
Periodontal
20 ANOS DE EXPERIENCIA
Al cuidado de tus
Encias
20 ANOS DE EXPERIENCIA
Te ofrecemos el mejor servicio de
La Dra. Arelly es especialista en periodoncia y te ofrece los mejores tratamientos
Periodoncia
Nuestros Servicios
Somos una clínica con un equipo interdisciplinario de profesionistas al cuidado de tu salud dental. Contamos con experiencia de más de 20 años, el mejor equipo, con la mejor tecnología. Instalaciones seguras y todos los protocolos sanitarios para cuidar de tu salud.
Gingivitis
La Gingivitis es una enfermedad tratable, que provoca el enrojecimiento e inflamación de las encías.
Muleas del juicio
Extracción y tratamiento de los terceros molares, conocidos popularmente como Muelas del Juicio.
Enfermedad periodontal
Es una patología crónica que puede causar graves daños en el hueso que sujeta los dientes y destruir las encías.
Estetica Peridontal
Es el tratamiento para el agrandamiento gingival controlado para obtener resultados estéticos además de funcionales.
Temporomandibulares
Problemas como: dolores de cabeza, facial y de la articulación temporomandibular, así como limitación de movimientos de la mandíbula.
Profilaxis dental
Prevención de enfermedades, a través de tratamientos preventivos que permitan mantener tu salud dental.
Implantes dentales
Procedimiento para reemplazar las raíces de los dientes con pernos metálicos y sustituir el diente faltante con uno artificial.
Doctores especialistas
Un equipo de especialistas preparados para atendaer tu salud dental
Dra. Arelly Carrillo
Soy periodoncista desde hace 12 años, y dentista por 20.
Me apasiona la Odontología y me llena de satisfacción el ser parte de la mejoría en la salud oral de mis pacientes.
Soy una persona sensible a las expresiones artísticas, y me considero una persona ética, alegre y sincera; mis pacientes pueden esperar de mi un compromiso profundo y empatía para con sus problemas bucales.
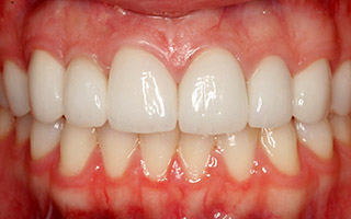
Sonrisas
Clientes Satisfechos
Profesionales
Totalmente preparados
Horas de trabajo
Gran experiencía
Cita de Diagnóstico
¿Necesitas agendar una cita de diagnóstico?
Lo que dicen nuestros clientes
Información Para Ti
Infromacion sobre salud dental, consejos y mas...




