La periodontitis o “enfermedad de las encías” es una de las afecciones bucales más agresivas.
Específicamente hablando, la periodontitis es una infección en las encías que daña los tejidos de soporte de los dientes. La periodontitis destruye el hueso que sostiene los dientes, hasta que estos se debilitan y caen.
Esta enfermedad afecta al 10% de la población mundial, según datos de la Organización Mundial de la Salud. El riesgo ocurre cuando estas personas no acuden a una cita con su dentista de confianza desde los primeros síntomas, ya que puede agravarse con mucha facilidad.

¿Qué es lo que causa la periodontitis?
La periodontitis llega tras una gingivitis no controlada.
Su principal causa es la acumulación de placa bacteriana en la zona de contacto entre la encía y el diente, es decir, alrededor y por debajo de la encía.
La placa es normal y se forma entre los dientes al estar en contacto con los alimentos. Cuando nos cepillamos los dientes, usamos hilo y enjuague bucal, disminuimos esa placa. Aunque al volver a comer aparece de nuevo.
Cuando la placa no es limpiada correctamente, se endurece por debajo de la línea de la encía, convirtiéndose en sarro dental. Este sarro es difícil de eliminar y se necesita una limpieza dental profesional en un consultorio, ya que el cepillo dental es incapaz de removerlo.
El sarro acumulado causa gingivitis, un tipo leve de enfermedad en las encías. En esta etapa, el tejido de la encía se irrita e inflama. Erradicarlo es sencillo y requiere de un tratamiento profesional y un cuidado en la higiene bucal.
Si la gingivitis no es tratada, la enfermedad empeora y es ahí cuando tenemos una periodontitis, que en el peor de los casos daña el tejido, provocando la separación de los dientes, lo que provoca aún más acumulación de bacterias, creando así una infección mayor.
Síntomas de la periodontitis
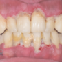
Una encía sana debe ser color rosa pálido. Estos son algunos de los síntomas de la periodontitis
- Encías enrojecidas o moradas
- Encías sensibles al tacto
- Encías que sangran al cepillarse los dientes
- Escupir sangre al enjuagarse la boca
- Dolor al masticar
- Halitosis o mal aliento
- Dientes flojos o perdida de los mismos
¿Como evitar una periodontitis?
Te explico la manera en la que puedes evitar esta enfermedad.
- Tener una buena y correcta higiene bucal: Este es el principal factor para evitar no solo la periodontitis, sino también otro tipo de enfermedades bucales.
- Se debe cepillar los dientes durante dos minutos, al menos dos veces al día o después de cada comida. El hilo dental se debe utilizar al menos una vez al día.
- Visita a tu dentista regularmente: Las consultas periódicas permiten prevenir este tipo de enfermedades. Realiza una limpieza dental profesional cada 6 a 8 meses.
Prevenir la periodontitis es posible. Para cualquier duda o información, mándame un mensaje a mis redes sociales. Me encuentras en Instagram y Facebook como Dra. Arelly Carrillo.


Comentarios